TECH&SPACE
LIVE FEEDMC v1.0
EN
// STATUS
ISS420 kmCREW7 aboardNEOs0 tracked todayKp0FLAREB1.0LATESTBaltic Whale and Fehmarn Delays Push Scandlines Toward Faste...ISS420 kmCREW7 aboardNEOs0 tracked todayKp0FLAREB1.0LATESTBaltic Whale and Fehmarn Delays Push Scandlines Toward Faste...
// INITIALIZING GLOBE FEED...
Medicinadb#671

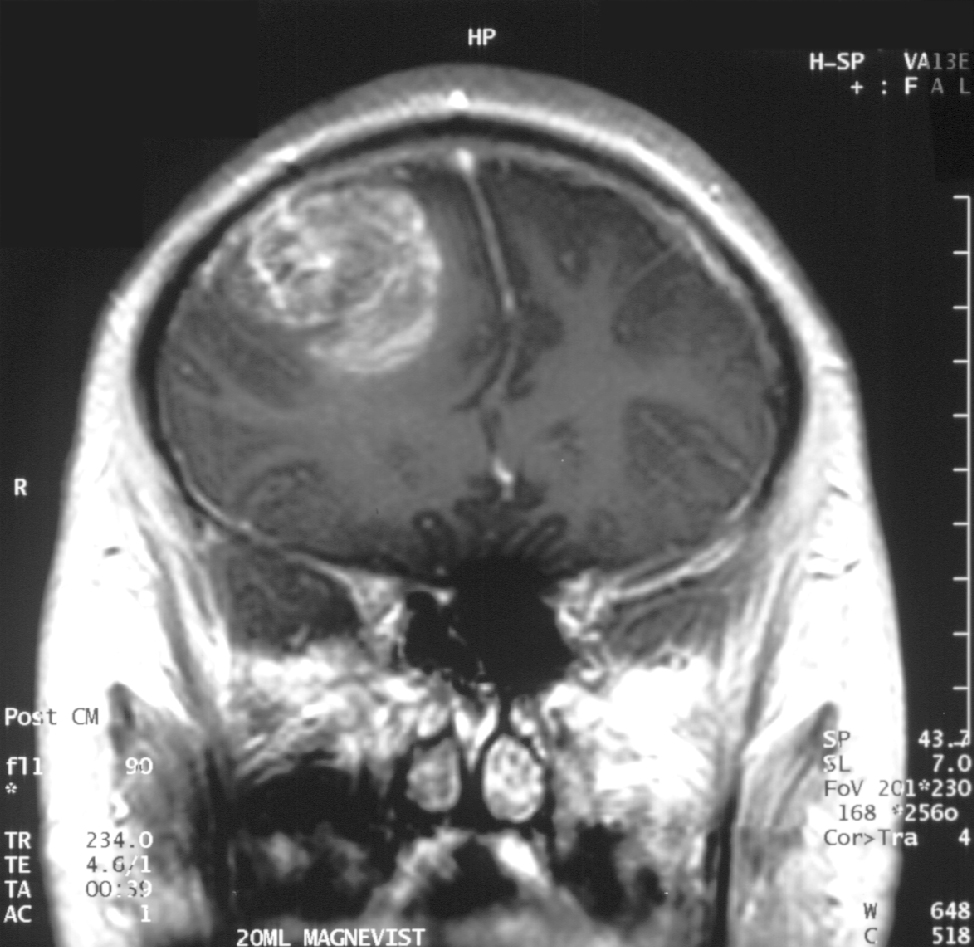
Novi cilj protiv glioblastoma: CD47 protein i njegova uloga u rastu tumora

(4w ago)
Adelaide, Australia
medicalxpress.com

📷 © Tech&Space

Dr. Elara Voss
AutorDr. Elara VossUrednik za medicinu"Nikad ne pušta sjajan graf da pretrči veličinu uzorka."
  • CD47 protein potiče rast glioblastoma izvan imunološke uloge
  • Studija na miševima – klinička primjena još daleko
  • Proceedings of the NAS objavio rezultate, ali bez ljudskih ispitivanja

Glioblastoma ostaje jedan od najagresivnijih i najsmrtonosnijih oblika raka mozga, s medianom preživljavanja od samo 12–18 mjeseci nakon dijagnoze. Novu nadu donosi istraživanje australskih znanstvenika iz Centre for Cancer Biology (CCB) pri Sveučilištu Adelaide, koje je otkrilo nepoznatu ulogu CD47 proteina u poticanju rasta ovog tumora – nezavisno od njegove poznate uloge u izbjegavanju imunološkog odgovora. Studija objavljena u Proceedings of the National Academy of Sciences (PNAS) pokazala je da CD47 ne djeluje samo kao 'ne vidim me' signal za imuni sustav, već aktivno potiče proliferaciju stanica glioblastoma kroz međustanične signale. To je ključna promjena u razumijevanju mehanizma bolesti: dotad se CD47 smatrao isključivo imunološkim 'štitom', dok sada postaje direktna meta za usporavanje rasta tumora. Međutim, važno je istaknuti razinu dokaza: radi se o pretkliničkoj studiji na miševima, bez ljudskih kliničkih ispitivanja. Eksperimentalni modeli koriste genetički modificirane glodavce s ljudskim tumorima, ali prijenos rezultata na pacijente zahtijeva godine dodatnih istraživanja. Čak i ako se potvrdi, blokiranje CD47 neće biti 'čudo-lijek', već potencijalni dodatak postojećim terapijama kao što su kirurgija, radioterapija i temozolomid.

📷 © Tech&Space

Razina dokaza: istraživački stadij s jasnim granicama primjene

Što ovo značajno ne pokazuje? Prvo, studija ne dokazuje da će blokatori CD47 (poput već postojećih anti-CD47 antitijela) usporiti glioblastom kod ljudi. Drugo, nema podataka o nuspojavama dugoročne inhibicije CD47 – protein je prisutan i na zdravoj tkivu, pa njegov blok može imati nepredvidive posljedice. Treće, glioblastoma je heterogen tumor s više međusobno povezanih putova rasta; ciljanje samo CD47 vjerojatno neće biti dovoljno. Za pacijente danas ništa se ne mijenja. Trenutne smjernice Europskog društva za neuro-onkologiju i dalje se oslanjaju na standardne protokole, a CD47 inhibitori su još u ranim fazama kliničkih ispitivanja (npr. NCT03248479 za magrolimab). Što dalje? Potrebna su ispitivanja na ljudima s jasnim biomarkerima koji će identificirati podgrupe pacijenata koji bi mogli imati korist. Također, treba razumjeti dugoročne učinkovitost i otpornost tumora na ovu terapiju – problem koji je već dokumentiran kod drugih ciljanih lijekova. Znanstvena zajednica reagira oprezno. Dr. David Ashley, direktor Duke Centra za glioblastom, ističe da je 'ova studija važan korak, ali samo jedan od mnogih potrebnih'. Slično, Američko društvo za istraživanje raka (ACS) u svojim smjernicama naglašava da 'pretklinički rezultati rijetko se direktno prevedu u kliničku praksu' – upravo zato što ljudski organizam nije laboratorijski model.

Istraživanje CD47 proteina i njegove uloge u glioblastomu otvara nove mogućnosti za liječenje ove teške bolesti. Međutim, još uvijek je potrebno mnogo istraživanja kako bi se potvrdila sigurnost i učinkovitost ove terapije. Znanstvenici će morati nastaviti raditi na razvoju novih lijekova i terapija koje će ciljati CD47 protein i druge molekule koje su uključene u rast glioblastoma.

GlioblastomaCD47 proteinOncology

//Comments